
近日在线股票炒股配资门户,山东省公共卫生临床中心高红伟主任团队成功为一位罹患严重双膝骨关节炎长达二十年的71岁患者孔阿姨,实施分期双侧全膝关节置换术。术后患者恢复良好,已重新站立行走,告别长达二十年的痛苦与依赖,重拾生活信心。
孔阿姨与双膝骨关节炎的斗争已持续二十年。最初其右膝无明显诱因出现疼痛,逐渐加重并活动受限,十年后左膝也出现相同症状。多年来保守治疗未能遏制病情进展,双膝关节畸形持续加重,活动能力不断下降,最终完全丧失行走能力,日常生活极度依赖他人照料,身心承受巨大痛苦。
就诊时,孔阿姨的双膝功能损伤严重:左膝屈曲挛缩达-30度,最大屈曲仅90度;右膝亦不能伸直(-20度),屈曲至多100度。经高红伟主任团队详细检查,确诊其为“晚期双膝重度骨关节炎”,关节结构遭受严重破坏,唯有行全膝关节置换术才能有效重建功能、改善生活质量。
考虑到患者的年龄及身体耐受程度,团队为其制定了周密的“分期手术”方案:
2025年6月,首先为畸形和疼痛更重的右膝实施关节置换,术后恢复良好;
2025年7月,再次顺利完成左膝置换手术。

全长术前

全长术后
令人欣喜的是,左膝手术结束后,在康复团队的指导和鼓励下,孔阿姨当日即尝试下地并成功迈步。当她再次用自己笔直的双腿稳稳站立、自由行走时,不禁激动地表示:“二十年了,真没想到我还能自己走路!高主任团队技术太棒了,太感谢了!”她对手术效果非常满意,也对未来生活重新充满期待。

术前

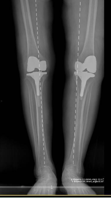
术后
高红伟主任指出,该病例带来多重启示:
骨关节炎应早发现、早干预,避免关节发生不可逆损伤;
全膝置换术是终末期严重骨关节炎的成熟有效治疗方式,能显著缓解疼痛、矫正畸形、重建功能;
针对高龄双膝置换患者,应坚持个体化评估、分期手术,并贯彻快速康复(ERAS)理念,通过多学科协作确保安全与疗效;
让患者恢复行动能力、重返有质量的生活,是手术的核心价值所在。
孔阿姨的重获新生,不仅体现了高红伟主任团队精湛的技术水平、科学的诊疗规划和深厚的人文关怀,也为广大长期受关节病困扰的患者带来了希望。专家提醒,如有关节疼痛、活动受限等症状,应尽早就医在线股票炒股配资门户,进行规范治疗,避免延误病情。
华林优配提示:文章来自网络,不代表本站观点。